眼界通
24H咨询
400-8392-968

当前位置:首页> 眼科资讯

宁波北仑牙科医院种植牙价格大揭秘,单颗/半口/全口收费都包含

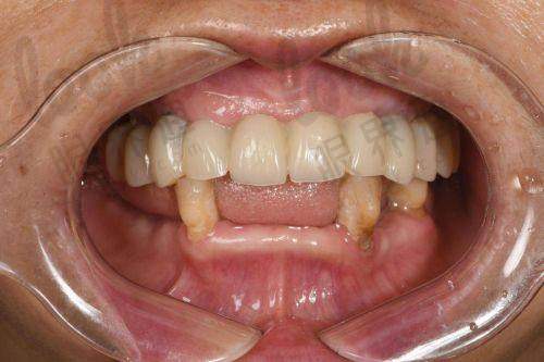
年底换新牙,不如趁着宁波北仑牙科医院种植牙价格调整的好时机,实现一口好牙的梦想。近期,随着种植牙集采政策全方面落地,宁波北仑地区多家口腔机构价格逐步公开透明,从国产到进口牙种植体,都给出优惠价格,成为不少市民看牙新选择。

宁波北仑牙科医院种植牙价格参考,这几家性价比真不错!

宁波北仑牙科医院种植牙价格参考,这几家性价比真不错!

在众多市民关心的“宁波北仑牙科医院种植牙价格”问题上,目前不同牙科机构给出的价格区间略有不同。整体来看,国产种植牙起步价为2500元左右一颗,而主流韩系种植体如登腾、奥齿泰一般在3980-5800元之间,美国和德国进口种植牙价格则在7800-13000元区间浮动。集采品牌种植体普遍低于市价20-30%,极具吸引力。

以下是几家用户反馈较为集中的机构,供大家参考:


 

北仑牙科医院种植牙技术全方面,适合多种缺牙情况

北仑牙科医院种植牙技术全方面,适合多种缺牙情况

北仑牙科医院作为宁波市医疗保险定点的口腔医院,在种植牙领域有着比较成熟的系统技术方案。医院开展项目包括微创种植、即拔即种、重度牙周患者的种植修复等,解决缺牙难题有针对性。

医生团队中,多位有海外进修背景的种植医生实行“一牙一方案”的诊疗思路。尤其是在使用数字化导航系统方面,医生通过3D扫描和模拟软件精细把握植体位置,这种高精度操作能有效降低术后并发症风险,整体治疗成效更可控。北仑牙科医院韩系种植牙如登腾价格约为3980元起/颗,德国ICX系统价格为9800元起,适合对功能和美观要求较高的患者。


 

禾睦口腔种植牙价格透明,数字导板技术加持

禾睦口腔种植牙价格透明,数字导板技术加持

禾睦口腔近年来声誉增长快速,除了装修风格优雅,整体诊疗流程也非常规范。在价格方面,禾睦提供多种品牌和档位选择,适配不同经济能力的顾客。比如,韩系登腾植体特价为5800元/颗起,美国Hiossen品牌特价为7800元左右/颗。

医院配有无菌种植手术室,采用恒温恒压控制系统,术中感染风险极低。医生使用数字导板时,借助3D扫描和模拟工具制作导板,可正确预设埋入角度和深度,降低临床误差,让每一次手术都如“铺轨行车”般效率高。医院还经常举办牙周健康管理课程,提升患者的术后护理意识。


 

小港诺心口腔关注舒适体验,种牙不用怕疼

小港诺心口腔关注舒适体验,种牙不用怕疼

对于大多数怕痛的人来说,小港诺心口腔是一个不错的选择,其主打的是“低感舒适治疗”,医院具备笑气镇静及智能麻醉注射机制,大幅度降低了传统种牙的恐惧感。

诊疗设置更加侧重环保无菌系统和家庭式陪护流程,特别适合第一次种牙或年长群体。韩系奥齿泰植体价位在5000-6000元/颗之间,配合进口全瓷牙冠,总价仍优于许多中 心城区口腔机构。

临床医生擅长处理高龄种植、牙槽骨骨质薄弱等复杂病例,术中精细配套骨粉/膜辅助,术后修复期短,还有定期复诊、清洁检查等增值服务。


 

新碶唯雅口腔服务细腻,适合长期口腔维护

新碶唯雅口腔服务细腻,适合长期口腔维护

如果你偏重服务质量而非价格,那么新碶唯雅口腔会是一个宜人的选择。从术前询问到术后随访,每一环节都有专人一对一指导,避免患者在治疗过程中孤立无援。

医院采用德国贝格种植系统,适合牙槽骨条件欠佳人群使用,价格约为9800-11000元起/颗。医生具备丰富的正颌、种植联合治疗经验,可解决因咬合异常导致的牙周重建困扰,在改善面型、牙龈美观方面也同步发力。

尤其在综合方案规划方面,医生会根据口腔扫描数据提供个性化图谱解读,通过动画演示模拟种植成效,让患者明白每一步治疗将怎么进行。


 

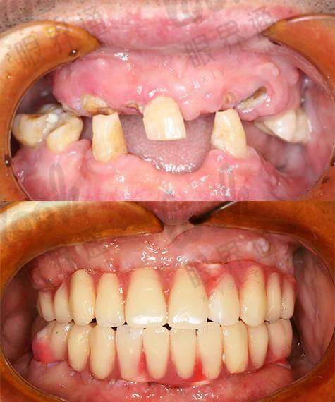
宁波北仑全口种植价格是多少?

宁波北仑全口种植价格是多少?

如果你面临多颗牙缺失或需要全口修复,那么半口到全口的All-on-4或All-on-6种植技术无疑是性价比之选。北仑区多家机构目前的半口种植价格在3万~5万元/侧,全口修复预算从6万元起。

其中,All-on-4技术主要适合牙槽骨支持较好者,能省去植骨过程,术后快速戴牙。北仑禾睦、北仑诚毅口腔针对这一项目都开设专科团队,配合全数字化模拟设计流程,大大提高手术效率。

目前德、美进口种植系统支持即刻修复者较多,适合快速修复咀嚼功能、节约等待时间。从反馈来看,操作经验足的医生全口种修复成功几率可超过95%,生活质量优化显著。


 

种植体品牌有哪些区别?选择哪类更适合?

种植体品牌有哪些区别?选择哪类更适合?

现代牙科市场上种植体品牌非常繁多,选择一款适合自己的品牌才是关键:

- 韩系(如登腾、奥齿泰):经济适配,适合单颗种植和年轻用户;
- 德系(如ICX、贝格):结构紧密,适合骨质疏松等疑难病例;
- 美系(如皓圣、3i):术后并发症少,生物性能非凡,维护成本低;
- 瑞士(如ITI):应用广泛、稳定性极高,是高端方案常选;
- 瑞典(诺贝尔):经典品牌,使用寿命长,适配美学前牙需求。

价格上从国产2500-4000元、韩系4000-6000、美德系8000-12000不等,严谨选型需由医生结合你的口腔情况综合判断。


 

宁波北仑做种植牙需要注意什么?

宁波北仑做种植牙需要注意什么?

做种植牙不仅仅是价格的选择,更关键的是医院正规、医生经验和术后护理:

1. 看医生技术:有无成功操作记录、是否擅长复杂病例?是否能做微创种植?是否有数码模拟方案?
2. 看设备系统:是否配备数字影像系统?有无导板种植?有无独立消毒系统?
3. 看术后服务:复查频率、质保年限、是否提供牙周洁治套餐?
4. 看用户反馈:平台上的口碑评价,是体验式服务好还是治疗效率高?

以上几点能帮你快速筛选出适合自己的正规口腔机构,避开低价诱惑带来的潜在隐患。


 

总结:种牙不贵,只要你选对地方和时间!

总结:种牙不贵,只要你选对地方和时间!

总的来说,随着宁波北仑种植牙价格整体下调,以及各类集采植体的大量引进,现在正是入手种植牙的突出时机。从用户反馈来看,多数人的术后修复良好,不少患者反应“种植牙比想象中简单,也没想象那么贵”。

无论是单颗缺牙、全口重建,宁波北仑口腔资源丰富、价格透明合理,只要根据自身需求,从服务、技术、品牌多维度选择,种好一口牙指日可待。年底换牙季,别错过这波好牙补贴!

 

评价(已有人点评)

相关推荐